Ten ways to improve your smile:

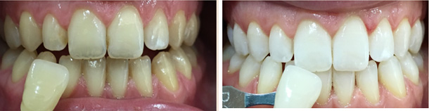
Teeth Whitening:

Whitening is an excellent solution to make your smile beautiful. It is a safe, quick and noninvasive method to instantly facelift the smile.

Several techniques are available:
  1. Home bleaching, over the counter bleaching kits.
  2. Office bleaching, also known as laser bleaching, 1hr bleach, dental chair bleaching, etc. Read More


Replace discoloured fillings:

Unsightly silver coloured /mercury based fillings can easily be replaced with life like indistinguishable white fillings or ceramics. Also discoloured mismatching and old tooth coloured fillings can be replaced with superior cameleon tooth coloured fillings to satisfy the demands of the most discerning client. Read More


Cosmetic re-contouring:

Chipped uneven teeth can be easily mended or adjusted for a more attractive smile. The placement of white filling material can create the illusion of symmetry and alter unsightly arrangement of teeth. This method is conservative of tooth tissue. Read More


Veneers:

Veneers are thin porcelain facings that are bonded to the teeth to improve appearance, are durable and long lasting. Veneers can majorly alter a smile. In some cases it can even protect the teeth from tear and wear and can take years off your smile. It is an attractive option for people who are not interested in orthodontic braces to straighten teeth. The whole procedure can be completed in one week and produce ultimate aesthetics. Read More


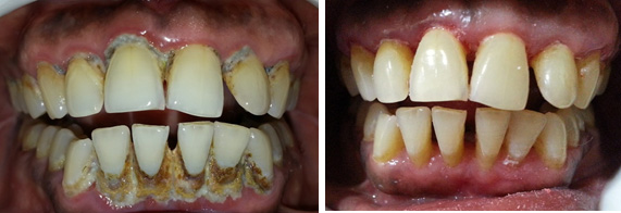
Teeth Cleaning:

Have a simple clean up with our thorough hygienists. Diseased inflamed gums don’t look attractive and neither do stained teeth. Also fresh breath can be achieved with a simple clean up, Read More


Cosmetic gum contouring:

Small gum contouring can have amazing effect on your smile. Gummy smiles usually gives the appearance of short teeth, re contouring the gums with symmetry can greatly enhance your looks. More….link to cosmetic/ gum contouring Read More


Crowns that look like teeth:

If you can tell that it is a crown - it’s a bad crown. Life like, high quality crowns with no black or grey areas around the gums, allowing light to go through, replacing artificial looking, dull crowns, will instantly restore your confidence. Crowns in our clinic are made by highly skilled and talented lab technicians. Read More


Orthodontic treatment:

Orthodontic problems such as crowding of the teeth, too much space between the teeth, jaw growth problems, protruding teeth, and bad bites can be inherited or caused by injury to the mouth, early or late loss of baby teeth, or thumb-sucking habits can be corrected with the help of braces. Read More


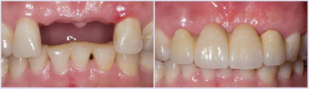
Bridges:

We can fill the gaps and make the adjacent teeth look better too. Read More


Implants::

We can replace missing teeth with implants. The success rate today of this type of treatment is very high and predictable. Read More

Admin

Hello How are you doing today?

Let's Chat!