Introduction
What is a "Wisdom Tooth"?
“Wisdom teeth” are the third molars present in both upper and lower jaw. The Wisdom teeth erupt behind the 2nd molars (if there is room for them and they are aligned properly) usually during a person’s late teens. Usually there are four wisdom teeth.
What is "Impacted Wisdom Tooth"?
In dental terminology an “impacted tooth” refers to a tooth that has failed to emerge fully into its expected position. This failure to erupt properly may occur either because there is not enough room in the jaw for the tooth, or because the angulations of the tooth is improper.
Symptoms of wisdom teeth related pain:
Pain / swelling or Tenderness of the gums
Unpleasant taste when biting down on or near wisdom tooth area
Bad Breath
Redness and swelling of the gums around the impacted tooth
Swollen lymph nodes of the neck (occasionally)
Difficulty opening the mouth (occasionally)
Prolonged headache or jaw ache.
Listed below are some of the types of problems that can develop in association with impacted wisdom teeth.
A condition that often occurs when wisdom teeth are impacted is pericoronitis. The term pericoronitis specifically refers to an infection located in the tissues that surround a tooth that has not fully emerged through the gums. Dental plaque will accumulate in this space and, unfortunately, there is no way for a person to effectively clean it out. As a result from time to time the bacteria contained in the dental plaque can cause an active infection, which then spreads to the tissues surrounding the wisdom tooth.

Poorly aligned wisdom teeth can have a positioning that creates a trap for plaque and debris between the wisdom tooth and the next molar ahead (the 2nd molar). Because these traps of debris cannot be cleansed properly not only is the wisdom tooth is placed at risk for developing decay but the next molar is also, as seen in picture above.
There is a theory that suggests that impacted wisdom teeth, as part of their effort to come fully into place, can put pressure on a person’s other teeth and cause them to become misaligned (crowded and shifted). Changes in the alignment of a person’s lower front teeth, especially, are frequently blamed on pressure created by a person’s wisdom teeth.
While it is not a common occurrence, cysts and tumours can develop in the tissues associated with impacted wisdom teeth. (If a decision is made to not remove an impacted wisdom tooth we will often recommend that an x-ray should be taken of the tooth periodically. This allows us to evaluate the tooth and its surrounding tissues for changes that might suggest a cyst or tumour is forming.)
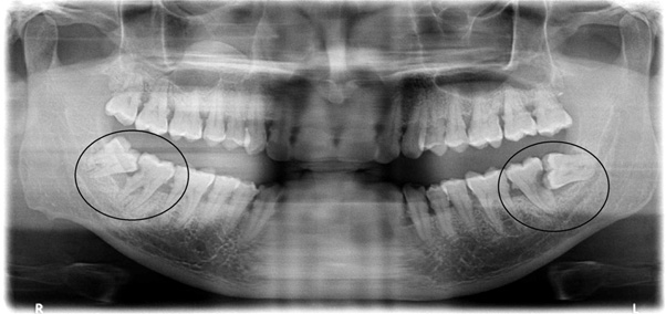
X-rays of the wisdom teeth are made to help assess the positions, shapes and sizes of the crowns and roots, the surrounding bone and the nerve which usually runs below the roots of the teeth.
X-rays also help in identification of associated conditions such as cysts in relation to the teeth, apart from aiding in planning of the surgical extraction procedure.
If there is adequate space available for eruption, the dental surgeon may advise a pericoronal flap excision (removal of the gum tissue overlying the impacted tooth) and observation. In many cases, infection of the overlying gum tissue has been found to recur. Here, there is no other choice other than the removal of the offending wisdom tooth.
Before the removal of the impacted wisdom tooth, the patient is normally put on a course of antibiotics and anti-inflammatory drugs to eliminate existing infection and inflammation in the area. The removal of an impacted tooth is normally a minor surgical operation, lasting 10 – 45 minutes. The oral surgeon will provide local anaesthesia. The surgical wound is often stitched back.
Swelling, mild pain, mild bleeding (ooze) from the surgical site and restriction in mouth opening are common problems, which the patient faces after surgical removal.
This may be associated with tenderness in the area and difficulty while swallowing. Normally these problems are found to gradually increase after the surgery reaching the maximum by 12–24 hours post-operatively. These problems gradually decrease over the next one-week almost disappearing totally, after suture removal after 1 week. There may be instances where problems persist for longer periods.
The patient should report back, if the following problems are seen persisting or increasing even after a period of 4 days after surgery – bleeding, severe pain, swelling, restriction in mouth opening, loss of sensation over the chin and lips, inability to chew properly, jaw joint pain etc.
Before the operation:
Inform about any heart condition or any serious illness you have or had.
Inform about any drug allergies you may have.
Have a good meal and brush your teeth.
You will have to eat soft, non spicy food for the next 24 -48 hours after the procedure.
After the operation:
A little oozing of blood is normal and should be expected. This can be stopped by biting on a piece of gauze placed on top of the wound, for about 20 – 30 minutes.
Do not wash the mouth too vigorously or use your tongue to disturb the wound as these would dislodge the blood clot and cause further bleeding.
Call your dentist if you think the wound is bleeding badly.
You may place an ice-pack over your cheek to help reduce the swelling. Do not put warm compresses on the cheek as this will worsen the swelling.
Take all the medicines given to you at the proper time. If antibiotics have been given to you, complete the whole course.
Do not smoke or drink alcohol immediately post tooth removal
After the first day of surgery, rinse your mouth gently after every meal to remove any trapped food at the wound. Continue to brush your teeth in other parts of the mouth.