Tooth Coloured Filling


Tooth Coloured Fillings are the best materials for filling decay in most teeth. Often called White fillings (To distinguish them from dark amalgam) these materials produce very good cosmetic results. The most popular kind of "white filling" is called a Composite filling




Advantages of White Fillings

  • Since composite bonds to the tooth, composite fillings restore most of the original strength of the tooth. Silver fillings weaken the teeth, making them more susceptible to breaking. Since broken teeth are very expensive to restore, composites can save a lot of expense over the long run.
  • Composite fillings restore the natural appearance of the tooth.
  • Composites are mercury-free fillings.(lot of newer research talk about mercury toxicity resulting due to old silver filling)
  • Composites require lesser tooth structure preparation for placement. Especially with new cavities, the size of the hole/ preparation made for the filling can be dramatically smaller with composites.

Some of the examples of White Filling

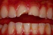
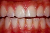
Case 1
missing
Decayed Tooth
missing
After Composite Filling

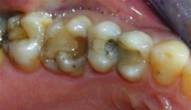
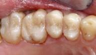
Case 2

missing
Before
missing
After

As you can see, tooth-coloured fillings substantially improve the beauty of your teeth.


Am I a candidate for tooth colored fillings?

If you have a cavity, broken tooth or a deteriorated filling, you may be a candidate for a tooth-coloured filling. Schedule a dental consultation to find out if composites are right for you.

What should I expect if my dentist decides a composite fillings is right for me?

During your visit, if your cavity is deep your gums and teeth will be anesthetized with a local anaesthetic near the site of the filling. Once the area is numb, the decayed or damaged portion of your teeth will be removed to make room for the new tooth-coloured filling. A resin will be placed over the area and harden with a blue light. The new filling will then be shaped and polished before the procedure is complete

What type of post-treatment care is required after getting a composite filling?

You should be able to return to normal chewing and oral care immediately after your visit. It’s normal for treated teeth to experience slight sensitivity to hot and cold in the days following treatment, but sensitivity that persists beyond a week or if it’s more should be reported to your dentist.

Admin

Hello How are you doing today?

Let's Chat!