Gum Diseases

What is gums disease?

Gums disease also called periodontal disease is a bacterial infection that attacks and destroys the gums and bone that hold your teeth in place. The word periodontal means “around the tooth.” Periodontal disease can affect one tooth or many teeth.

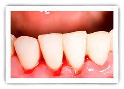
In the early stage of periodontal disease, called gingivitis, the gums can become red, swollen and bleed easily. At this stage, the disease is still reversible and can usually be eliminated by routine dental cleaning followed by daily brushing and flossing.

If left untreated, gingivitis can progress to periodontitis.

What are the causes of gums disease?

There are many factors that may increase the risk of developing gums disease:

Smoking or chewing tobacco – Tobacco users are more likely to form plaque and tartar on their     teeth.
Dental Bridges that no longer fit properly, crowded teeth, or defective fillings may trap plaque and     bacteria.
Many medications like Steroids, cancer therapy drugs, antidepressants, blood pressure medicines,     oral contraceptives have side effects that reduce saliva, making the mouth dry and plaque easier     to adhere to the teeth and gums.
Pregnancy, oral contraceptives, and puberty can cause changes in hormone levels, causing gum     tissue to become more sensitive to bacteria toxins.
Gums may swell in systemic diseases like Diabetes, blood cell disorders, HIV / AIDS, etc.
Genetics may play role – Some patients may be predisposed to a more aggressive type of     periodontitis. Patients with a family history of tooth loss should pay particular attention to their     gums.

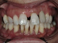
1. Pockets
Dental pockets occur when the collar of gum becomes infected, and separates from the tooth creating a space. This space is a “pocket.”






2. Bleeding
Bleeding gums are not normal. And should be corrected with gums cleaning as soon as possible to prevent further damage. Bleeding gums are an immediate sign of underlying periodontal disease.





3. Bone loss
If gum disease is not corrected at initial stage it leads to more deeper problems like bone loss where bacteria in gums pockets releases toxins which eats away bone




4. Loose teeth
Once the bone is eaten away due to bacterial toxins, it will lead to loose teeth.


5. Spaces
The most common reason for front teeth to flare out is advanced bone loss and lack of tooth support due to progressive gum disease.





6. Halitotis (bad breath)
Bad breath may be a sign that significant of periodontal problems existing in someone’s mouth. Once the periodontal problems are under control, bad breath often goes away.



Phase 1 – initial preparation & scaling
During these visits, we perform scaling (cleanings) of the teeth, attempting to remove all the plaque and tartar (calculus) stuck to the teeth. Often, changes can be seen right away. Bleeding reduces and the pockets get smaller.


Phase 2 –re-evaluation & possible further scaling
   The second phase of periodontal treatment consists of re-evaluating the pocket depths and    seeing if gums still bleed after the initial scaling. The more the patient does effective oral      hygiene techniques, the more they can improve their condition.

Phase 3 – gum surgery
   Surgery is indicated when non-surgical methods are not enough to stop the disease process.     Periodontal surgery helps save teeth.

Prevention of gum diseases with healthy oral hygiene routine is the best way to have long lasting strong teeth. Click here to know more about it


My gums bleed when I brush and floss. Isn’t that normal?

No. The gums that surround and support the teeth are very durable and when healthy can withstand normal brushing and flossing. Bleeding gums are one of the signs of gum disease. Think of gum tissue as the skin on your hand. If your hands bled every time you washed them, you would know something was wrong.

Is maintenance required after periodontal treatment?

Yes, in most cases. As periodontitis is a chronic condition that is not cured but can be stabilized and maintained. Once the initial treatment has been completed, maintenance care is essential for future good oral health.

Can kids get gum disease?

Serious infection of the gums is rare in young children. However it’s important to monitor children for early symptoms, especially bleeding in the gums, which can indicate a problem.

How can I take care at home to prevent gums disease?

The best way to prevent periodontal disease is to take good care of your teeth and gums at home. This includes brushing your teeth after every meal and most importantly before bedtime, flossing at least once each day, and seeing your dentist for regular examination twice a year.

Spending a few minutes a day on preventative measures may save you the time and money of treating periodontal disease!

Will scaling loosen my teeth?

Scaling is a procedure in which we remove dental plaque and tartar that accumulates along the gum line and between the teeth. Although we feel like teeth get loosened with the process, in reality this method of plaque removal protects against dental decay and tooth loss,

Removal of tartar exposes damage that has already been done & so your tooth will feel loose and sensitive for some time and you may feel gaps in-between the teeth where tartar was accumulated before, but no reason to avoid dental cleaning and leave the plaque in, as doing so will eventually lead to gum bleeding, bad breath and tooth loss.

What can be expected after a scale and polish or gum treatment?

Initially, your gums may feel sensitive, and your teeth may feel “empty”. Sensitivity is normal and the sensitivity should subside after a few days, using a fluoridated tooth paste will help with this. The empty feeling will pass as well, and this sensation is usually the result after the tartar between the teeth is removed.

What happens if I do not get a regular cleaning done?

The results of not having regular cleanings done will not be immediately apparent, but if tartar is left on the teeth, it thickens over time, becomes a bacteria trap and starts causing gum disease and bone loss and bad breath.

How can I avoid gum disease?
Ways to prevent gum disease include

  1. Brush twice a day, mainly in night before sleeping.
  2. Floss regularly
  3. Visit your dentist regularly and have a regular scale and polish if needed.
  4. Avoid smoking
  5. Eat a balanced diet

Is there any connection between periodontal disease and heart disease / stroke?


What is air polishing?

Air Polishing is a dental treatment that quickly and effectively removes unwanted stains from the teeth. Unlike conventional mechanical polishing used to polish teeth; the innovative air flow polishing technique uses a machine that cleans and polishes the teeth with a mix of water, compressed air and fine powder particles. An air polisher is very effective in removing stains and deposits which are present in between the teeth which are difficult to remove with conventional scaling and polishing.

e.g. stains due to smoking and tobacco chewing.

Admin

Hello How are you doing today?

Let's Chat!